@klaudiaa975 po prostu sprawdziła czy dziecko dobrze zrobione, czy wszystko na miejscu, żeby mieć czas na ewentualne reklamacje 
reklama
G
gosc12
Gość
Haha noHaha chociaż dużo barszczu miałaś![]()
Onaszczesliwa2018
Fanka BB :)
- Dołączył(a)
- 10 Listopad 2017
- Postów
- 14 999
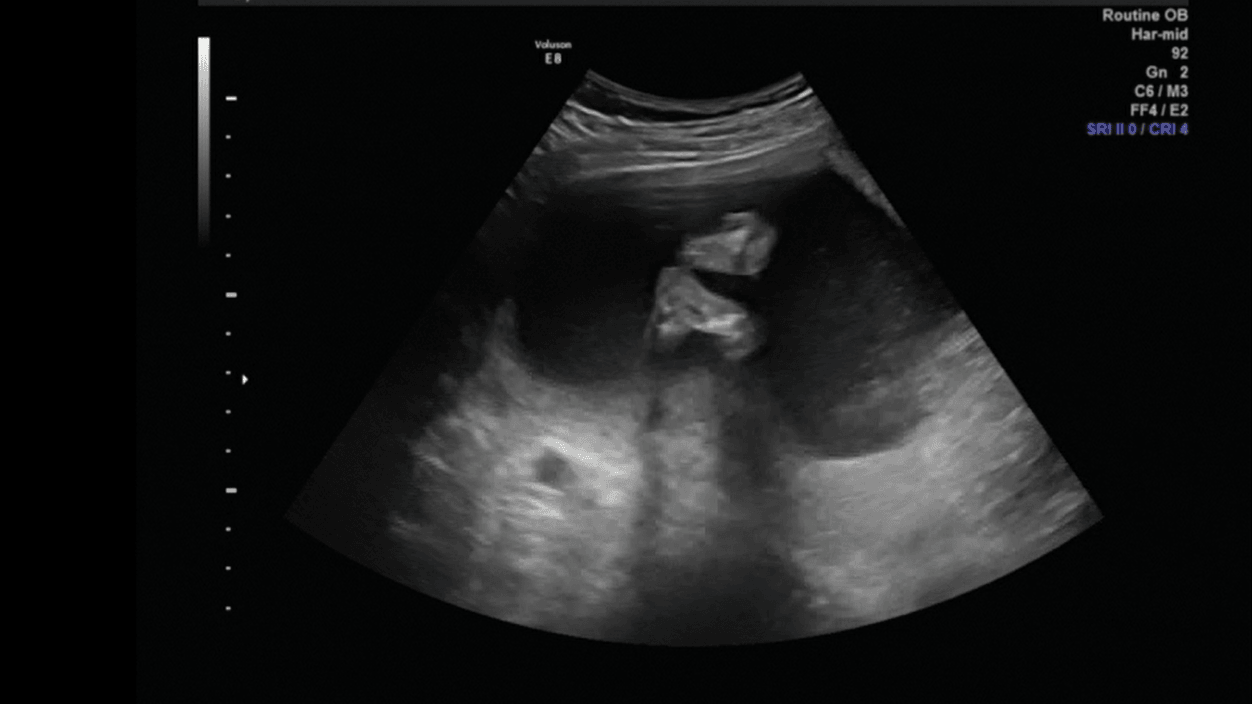
Wrzucę kilka fotek tutaj a resztę w wątku z usg
Nasz akrobata (stopa przy nosku)Zobacz załącznik 839724
Strasznie męczące są te wygibasy[emoji173]
Zobacz załącznik 839725
Stópki [emoji7]
Zobacz załącznik 839726
O jejku jak ślicznie , a na tym drugim chyba sobie ziewa co
G
gosc12
Gość
Może tak mnie ciekawi płeć i takie sny się pojawiają chore@klaudiaa975 matko ale sen. Cos jest z tym ze kobiety w ciazy maja takie zryte akcje podczas snu. Ale akcja z tym zobaczeniem dziecka....padlam hahahaha niecierpliwa jestes.
Napisane na LG-H815 w aplikacji Forum BabyBoom
G
gosc12
Gość
Dokładnie@klaudiaa975 po prostu sprawdziła czy dziecko dobrze zrobione, czy wszystko na miejscu, żeby mieć czas na ewentualne reklamacje![]()
olaaa7
Fanka BB :)
- Dołączył(a)
- 6 Wrzesień 2017
- Postów
- 10 928
Tak akurat ziewałO jejku jak ślicznie , a na tym drugim chyba sobie ziewa co
olaaa7
Fanka BB :)
- Dołączył(a)
- 6 Wrzesień 2017
- Postów
- 10 928
U mnie też słoneczko świeciU Was też tak ładnie słoneczko świecie w okna? Wydaje się normalnie jakby było ze 20 stopni ciepła na dworze jej jak ja tęsknię za wiosna latem![]()
reklama
Nowaja16
Fanka BB :)
- Dołączył(a)
- 24 Październik 2017
- Postów
- 3 824
Oj tak posiedzialo by się na huśtawce czy ławce i pogrzało na słoneczkuU mnie też słoneczko świeciAż chce się wyjść na spacer
Niech ta wiosna już przychodzi
![]()
Podziel się: