Wyjątkowa Marta
Fanka BB :)
poczekam do wizyty u swojego gina, bo u mnie te daty zmieniają się jak w kalejdoskopiePisz tam od razu póki pamiętaszJak mnie najdzie na edycję, to spojrzę sobie w komentarze
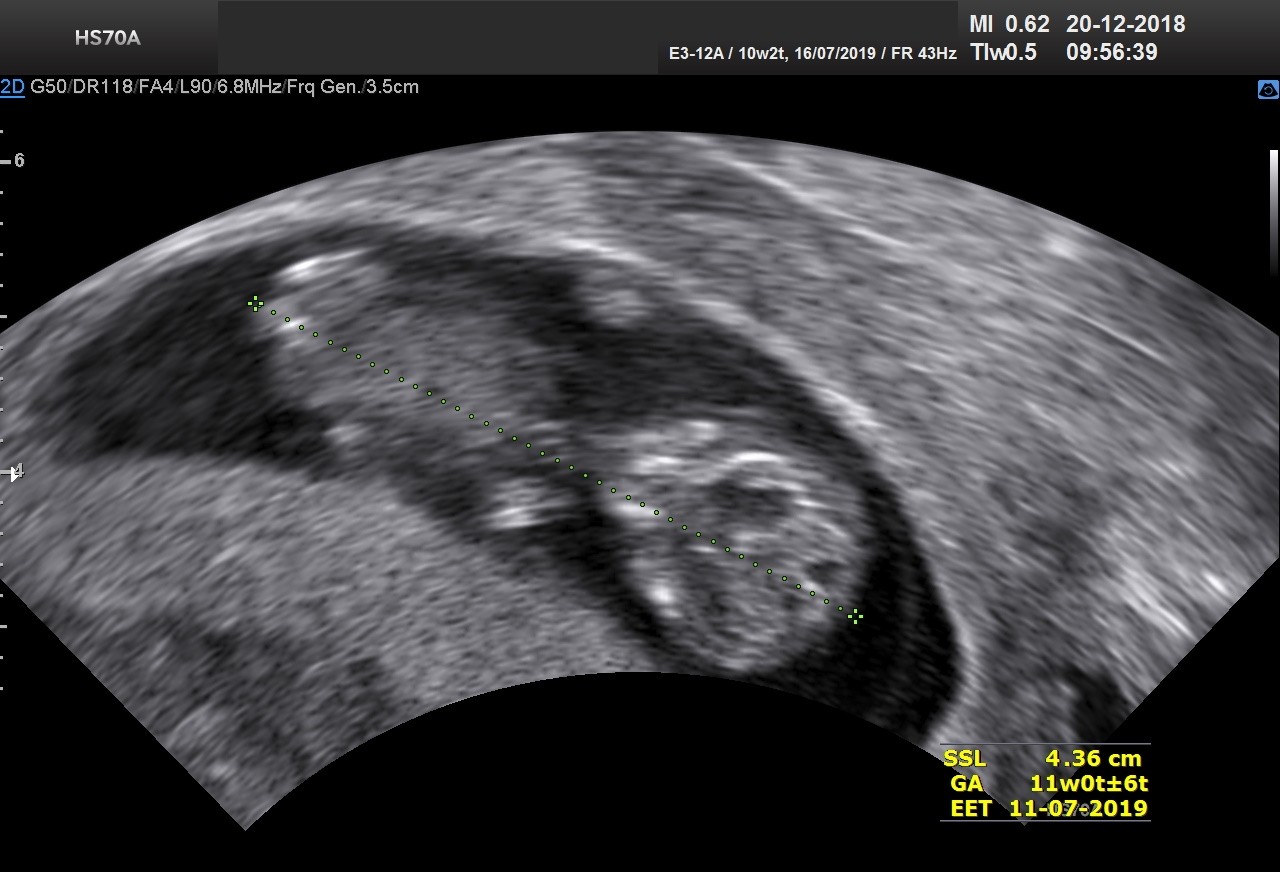
![]()
Mam na coś ochotę, ale nie wiem na co. rany! jak ja tego nie lubię.... nie wiem czy bardziej lody...czy czekoladki. Jak zobaczyłam reklamę Lindt to dostałam ślinotoku

no i naleśniki też dobrze wchodzą

założenie nawet mojego ulubionego biustonosza Allesa dostaje nerwicy tak mnie drażni i normalne objawy to senność i muli mnie od rana do nocy nawet spać nie mogłam w nocy ale to dobrze cieszę się niezmiernie tak ma być hormony dają o sobie znać 
niestety znowu dostałam bardzo złe wieści i mam doła.
