• Przypominam, że dalej nasza forumowa mama potrzebuje Twojej pomocy 💖 Jeśli możesz wpłacić nawet drobną kwotę, to prosimy zrób to Kliknij

reklama

Lipcowe mamy 2023

Dopiero 14 miesięcy. Nie wiem jeszcze jak ogarnę dwójkę🤣🤣

Nie chce straszyć bo to pewnie nie jest reguła ale mnie w poprzedniej ciąży też "odrzucilo" od słodyczy a później mi wyszła cukrzyca ciążowa🙄. Teraz mam podobnie.
Oby u Ciebie było inaczej✊
U mnie też był totalny słodyczowstręt przez całą ciążę, ale cukry były spoko, więc chyba nie ma reguły. A ja jestem słodyczowa niestety. Teraz też nie mam ochoty. Moje ukochane herbatniki z gorzką czekoladą od 2 tygodni leżą odłogiem 😂
Moja córcia ma 20 miesięcy. Nie wiem jak to będzie, bo ona często jeszcze chce na rączki i bardzo lubi skakać mi po brzuchu 🤦🏼‍♀️ Z nią jedną czasem ledwo sobie radzę. Też nie wiem jak będzie z dwójką. A tutaj nie mamy żadnej rodziny i nikt do nas nie przyleci, żeby pomóc chociaż na początku. Ale na razie to się o całkiem inne rzeczy martwię.
 
reklama
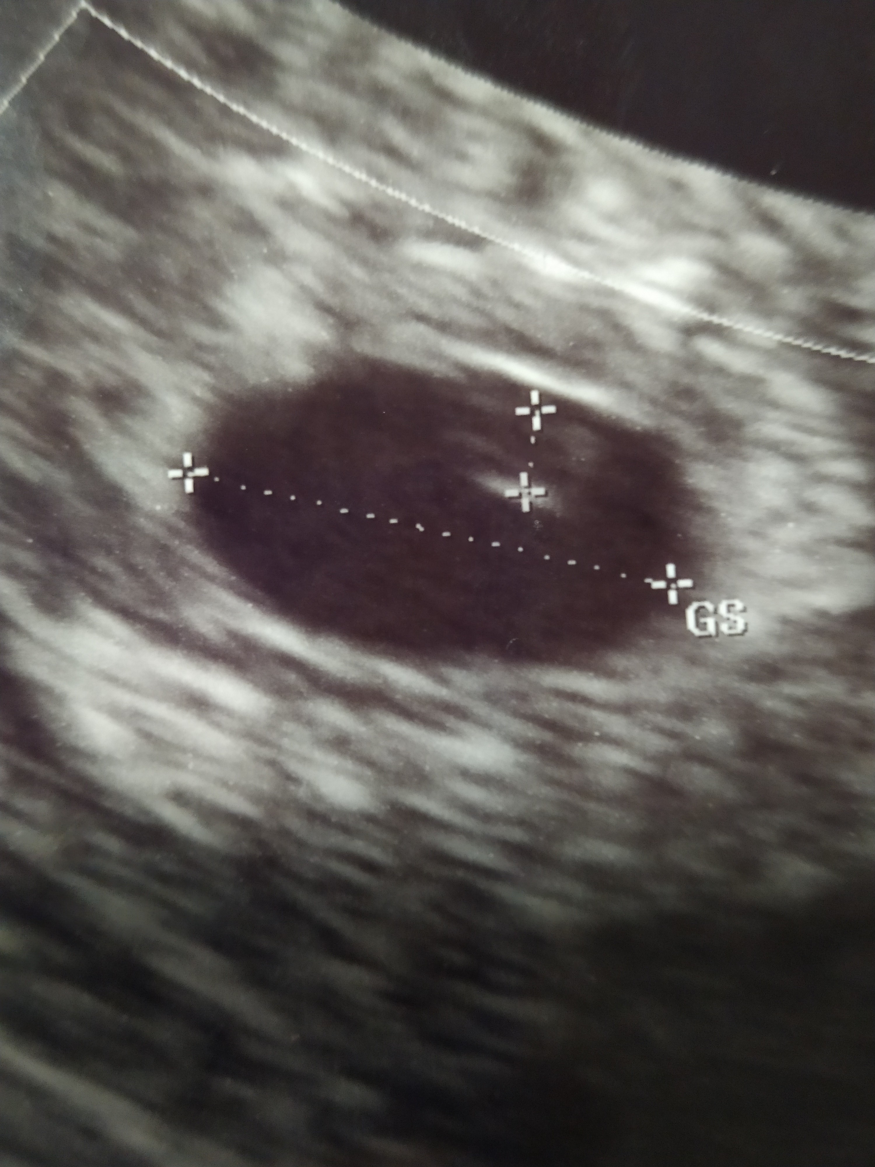
To ja już jestem po wizycie. Jest pęcherzyk ciążowy na miejscu + widać pęcherzyk żółtkowy, ale ciężko na razie z uwidocznieniem czegoś więcej. A liczyłam już na serduszko 😒
Ginekolog miał problem, musiał trochę uciskać mi brzuch, ponoć ułożenie macicy niekorzystne dla dobrego obrazu.
No i nadal człowiek czeka w zawieszeniu..
 
To ja już jestem po wizycie. Jest pęcherzyk ciążowy na miejscu + widać pęcherzyk żółtkowy, ale ciężko na razie z uwidocznieniem czegoś więcej. A liczyłam już na serduszko 😒
Ginekolog miał problem, musiał trochę uciskać mi brzuch, ponoć ułożenie macicy niekorzystne dla dobrego obrazu.
No i nadal człowiek czeka w zawieszeniu..
To są dobre wiadomości ❤️ kiedy masz następna wizytę ?
 
U mnie też był totalny słodyczowstręt przez całą ciążę, ale cukry były spoko, więc chyba nie ma reguły. A ja jestem słodyczowa niestety. Teraz też nie mam ochoty. Moje ukochane herbatniki z gorzką czekoladą od 2 tygodni leżą odłogiem 😂
Moja córcia ma 20 miesięcy. Nie wiem jak to będzie, bo ona często jeszcze chce na rączki i bardzo lubi skakać mi po brzuchu 🤦🏼‍♀️ Z nią jedną czasem ledwo sobie radzę. Też nie wiem jak będzie z dwójką. A tutaj nie mamy żadnej rodziny i nikt do nas nie przyleci, żeby pomóc chociaż na początku. Ale na razie to się o całkiem inne rzeczy martwię.
Moja 23 miesiące więc niewiele lepiej. Typ charakteru - żywe srebro, ciężko już za nią nadążyć. Ale nie mogliśmy już sobie pozwolić na dłuższą przerwę pomiędzy dziećmi ze względu na nasz wiek i moje problemy zdrowotne.
 
Wiem, ale tak się nastawiłam, że zobaczę coś więcej ;)
Jestem umówiona na sprawdzenie serduszka 8.12, bo wtedy dopiero mój ginekolog wróci z urlopu. Ale coś sądzę, że umowie się do kogoś innego, bo nie wytrzymam tyle czasu.
Znam to, też żyję teraz w zawieszeniu, bo liczyłam na serduszko, a zobaczyłam tylko pęcherzyk żółtkowy. 😔 Ja idę 1 grudnia, bo też nie wytrzymałabym dwóch tygodni. Masz może usg?
 
Wiem, ale tak się nastawiłam, że zobaczę coś więcej ;)
Jestem umówiona na sprawdzenie serduszka 8.12, bo wtedy dopiero mój ginekolog wróci z urlopu. Ale coś sądzę, że umowie się do kogoś innego, bo nie wytrzymam tyle czasu.
W którym tygodniu juz na pewno musi być widać ? Może policz i wtedy się umów 🙃 ja mam dzisja 7t0 więc pewnie już MUSI być .
Wiem, ale tak się nastawiłam, że zobaczę coś więcej ;)
Jestem umówiona na sprawdzenie serduszka 8.12, bo wtedy dopiero mój ginekolog wróci z urlopu. Ale coś sądzę, że umowie się do kogoś innego, bo nie wytrzymam tyle czasu.
Wiem...mi najbardziej doskwiera to zawieszenie , więc tego Ci nie zazdroszczę. Ale pozytywnej wizyty już tak 😍
 
Znam to, też żyję teraz w zawieszeniu, bo liczyłam na serduszko, a zobaczyłam tylko pęcherzyk żółtkowy. 😔 Ja idę 1 grudnia, bo też nie wytrzymałabym dwóch tygodni. Masz może usg?
Tak, dodaję ;) aplikacja jeśli liczyć od om to powinno być 5+3. Ale jestem pewna, że owulacja była wcześniej niż powinna być, dlatego według mnie to już jest jakieś 5+5 lub nawet 5+6. Dlatego liczyłam na coś więcej.
 

Załączniki

  • IMG_20221124_154516.jpg
    IMG_20221124_154516.jpg
    1,4 MB · Wyświetleń: 84
reklama
Tak, dodaję ;) aplikacja jeśli liczyć od om to powinno być 5+3. Ale jestem pewna, że owulacja była wcześniej niż powinna być, dlatego według mnie to już jest jakieś 5+5 lub nawet 5+6. Dlatego liczyłam na coś więcej.
Super ❤️ u mnie według om znowu 6t3d, ale znowu ja jestem pewna, że owulacja mi się opóźniła o jakieś 5 dni i wychodzi 5t5d. Tak jakbyśmy się zrównały. 😊 Oby już na następnym usg było u nas coś widać. Jest pęcherzyk żółtkowy to lada chwila pojawi się maleństwo ❤️ A masz wymiar pęcherzyka? U mnie na usg nie ma właśnie, w niedzielę na ip (trzy dni przed wizytą u mojej lekarki) miał 8 mm. A chyba mi urósł 🤔
 

Nowe wątki

reklama
reklama
Wróć
Do góry