reklama
Forum BabyBoom

Dzień dobry...

Starasz się o maleństwo, wiesz, że zostaniecie rodzicami a może masz już dziecko? Poszukujesz informacji, chcesz się podzielić swoim doświadczeniem? Dołącz do naszej społeczności. Rejestracja jest bezpieczna, darmowa i szybka. A wsparcie i wdzięczność, które otrzymasz - nieocenione. Podoba Ci się? Wskakuj na pokład! Zamiast być gościem korzystaj z wszystkich możliwości. A jeśli masz pytania - pisz śmiało.

Ania Ślusarczyk (aniaslu)

reklama

Majowe mamy 2023

Wiem, ze na gorze lekarz sam wpisuje, tzn. wpisuje datę ostaniej om i wiek jest wyliczany, a mi chodzi o ten wiek ciąży, który jest w prawym dolnym rogu, tam przy pomiarach. On najczęściej różni się od tego, który jest na gorsze, obliczany ma postawie om. I zastanawiam się czy ten wiek, który jest przy pomiarze jest obliczany ma podstawie tego co wychodzi z tych pomiarów właśnie, bo już zapomniałam jak to jest
Powiem Ci szczerze, że też nie pamiętam. Ja mam na dole wpisaną dokładnie taką samą datę jaka mi wychodzi z om
 
reklama
Wizyta była we wtorek i jest zarodek juz (5t6d), następna 24, luteiny nie biore bo w Norwegii sa raczej przeciwnikami faszerowania sie lekami, no cóż…. Wychodzi na to, ze musze czekac do następnej soboty
Odpoczywaj jeśli możesz.
Dziewczyny, podjechałam dzisiaj na szybką wizytę do lux bo od kilku dni mocno ciągnie mnie w brzuchu. Po badaniu okazało się, że dziecko uroslo w stosunku do tygodnia wstecz tylko niecale 3mm... wtedy wychodziło 6+4 teraz 7+0). Trochę się denerwuje...
A ile dni minęło od pierwszej wizyty ?
 
Ja mam wizytę jutro i też będę mieć 5+6... Obawiam się,że też pewnie nic poza pęcherzykiem nie zobaczę
Trudno powiedzieć, bo wszystko zależy od tego kiedy miałaś owulacje i kiedy się zagnieździło 😊
U mnie owulacja była albo w 17 dc albo w 18 dc a zagnieżdżenie nie szybciej niż w 10 dpo, także trochę czasu dziecku jeszcze daje😄
 
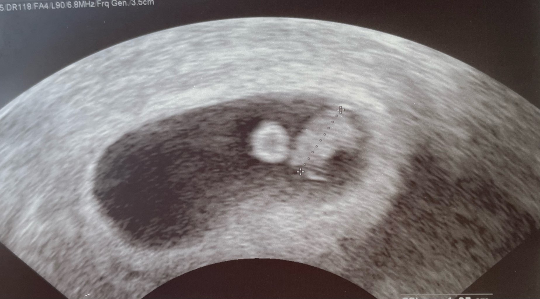
Dziewczyny! Mamy kolejnego dzidziusia! Serduszko boje, 1.05 cm. ♥️🥰 jestem zakochana po uszy🫶🏻 teraz modlić się i wierzyć ze wszystko dobrze się skończy 🤭 dziękuje za wszystkie kciuki 🙏🏻
 

Załączniki

  • IMG_7852.jpeg
    IMG_7852.jpeg
    200,5 KB · Wyświetleń: 83
Ja ogólnie mam bardzo wyczulony węch teraz. Większość zapachów mi przeszkadza.
Co dziwne jak powącham się pod pachą to nie czuje potu ale jak siedzę to cały czas mi zalatuje coś 🤣🤣
Trochę wstyd bo jeśli śmierdze naprawdę? Musze dzisjaj niemeża podpytać czy coś czuje 😄
Ja w połogu to musiałam co chwilę brać prysznic przez pot, to było straszne. 😅
 
reklama
Nie zapytalam bo bylam w lekkim szoku po ogolnej wizycie.Powiedział, że najważniejsze ze bije serce. Nie wiem kurcze, ja mam jakiegoś pecha do lux. Na wstępie usłyszałam, że nie może prowadzić ciąży bo tu prowadzi się ciążę zdrowe (nie można mieć obciążeń typu chora tarczyca itp.). Nie wiem czy pomiary były na odczepne bo jednak przyszłam z bólami, więc na pewno co zrobił to sprawdził czy nie ma krwiaka (nie ma).
Wiesz sprzęt sprzętowi nieer ówny. Ja w poprzedniej ciazy też miałam różnice w pomiarach w tych USG na nfz a tych prywatnych :)
 
Do góry