• Przypominam, że dalej nasza forumowa mama potrzebuje Twojej pomocy 💖 Jeśli możesz wpłacić nawet drobną kwotę, to prosimy zrób to Kliknij

reklama

Majóweczki 2020

reklama
Ja po prenatalnych, wszystko ok, bejbik skakal ☺️ przeziernosc 1.7 12+4
 

Załączniki

  • IMG_20191114_162832.jpg
    IMG_20191114_162832.jpg
    1,4 MB · Wyświetleń: 129
Hej majowe mamuśki, witam się z Wami :) widzę, że tu pokaźna drużyna!
Wychodzi na to, że już duża część z Was jest po prenatalnych, albo tuż przed. U mnie dziś 12w4d, a prenatalne miałam 2 dni temu.
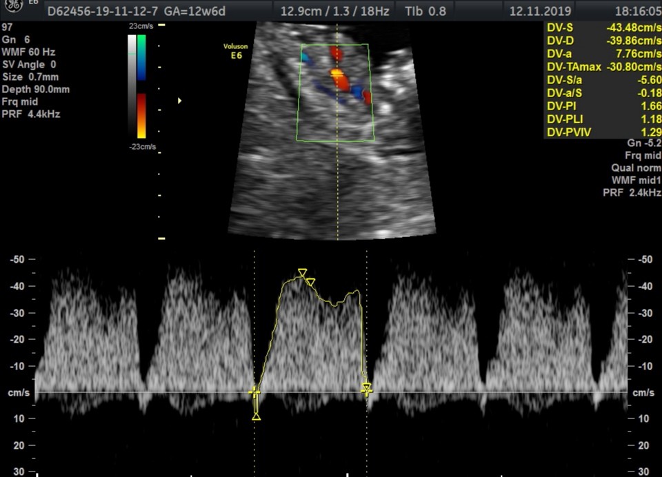
Czy u tych dziewczyn, które są już po tym badaniu, lekarz komentował może parametr DV, czyli prawidłowość przepływu w przewodzie żylnym? U mnie wyszła zwrotna 'fala a', co nie jest do końca prawidłowym obrazem. Ponadto dziecko takie fikołki kręciło, że trudno było uwidocznić kość nosową, ale pani doktor stwierdziła, że NAJPRAWDOPODOBNIEJ (ech...) ją widzi. Pozostałe parametry usg w normie.
Teraz czekam na wyniki PAPPA i odchodzę od zmysłów. Za 3 tygodnie wizyta z ponowną kontrolą obecności kości nosowej oraz DV plus analiza wyników pappa. Najchętniej do grudnia bym się zahibernowała.
Czy u którejś z Was w parametrze DV pojawiła się zwrotna 'fala a'?
Dla porównania załączam zdjęcie.
Pozdrowionka!
 

Załączniki

  • IMG_20191114_183938.jpg
    IMG_20191114_183938.jpg
    102,1 KB · Wyświetleń: 113
Hej majowe mamuśki, witam się z Wami :) widzę, że tu pokaźna drużyna!
Wychodzi na to, że już duża część z Was jest po prenatalnych, albo tuż przed. U mnie dziś 12w4d, a prenatalne miałam 2 dni temu.
Czy u tych dziewczyn, które są już po tym badaniu, lekarz komentował może parametr DV, czyli prawidłowość przepływu w przewodzie żylnym? U mnie wyszła zwrotna 'fala a', co nie jest do końca prawidłowym obrazem. Ponadto dziecko takie fikołki kręciło, że trudno było uwidocznić kość nosową, ale pani doktor stwierdziła, że NAJPRAWDOPODOBNIEJ (ech...) ją widzi. Pozostałe parametry usg w normie.
Teraz czekam na wyniki PAPPA i odchodzę od zmysłów. Za 3 tygodnie wizyta z ponowną kontrolą obecności kości nosowej oraz DV plus analiza wyników pappa. Najchętniej do grudnia bym się zahibernowała.
Czy u którejś z Was w parametrze DV pojawiła się zwrotna 'fala a'?
Dla porównania załączam zdjęcie.
Pozdrowionka!
ja chyba nie mialam czegos takiego badanego, ale czemu za 3 tyg kosc nosowa? a kiedy ona rosnie dzieciom z wadami?
 
Hej majowe mamuśki, witam się z Wami :) widzę, że tu pokaźna drużyna!
Wychodzi na to, że już duża część z Was jest po prenatalnych, albo tuż przed. U mnie dziś 12w4d, a prenatalne miałam 2 dni temu.
Czy u tych dziewczyn, które są już po tym badaniu, lekarz komentował może parametr DV, czyli prawidłowość przepływu w przewodzie żylnym? U mnie wyszła zwrotna 'fala a', co nie jest do końca prawidłowym obrazem. Ponadto dziecko takie fikołki kręciło, że trudno było uwidocznić kość nosową, ale pani doktor stwierdziła, że NAJPRAWDOPODOBNIEJ (ech...) ją widzi. Pozostałe parametry usg w normie.
Teraz czekam na wyniki PAPPA i odchodzę od zmysłów. Za 3 tygodnie wizyta z ponowną kontrolą obecności kości nosowej oraz DV plus analiza wyników pappa. Najchętniej do grudnia bym się zahibernowała.
Czy u którejś z Was w parametrze DV pojawiła się zwrotna 'fala a'?
Dla porównania załączam zdjęcie.
Pozdrowionka!
A nt bylo prawidłowe ?
Zostalas wyslana na echo serca plodu ?
 
ja chyba nie mialam czegos takiego badanego, ale czemu za 3 tyg kosc nosowa? a kiedy ona rosnie dzieciom z wadami?
Bo to badanie nie jest wykonywane standardowo na prenatalnych. Rzadko się je wykonuje, chyba tylko przy nieprawidłowosciach. Pewnie dobry diagnosta ktory ma dobry sprzęt wykona takie badanie ale nie jest to norma.

Ja nie jestem pewna ale chyba też miałam to wykonywanie.
 
reklama
A nt bylo prawidłowe ?
Zostalas wyslana na echo serca plodu ?
Nt prawidłowe, 1,40. Lekarz, który przeprowadzał badanie (z certyfikatem FMF) zaznaczył, że ta 'niepoprawność' DV u wielu dzieci naprawia się samoczynnie w kolejnych tygodniach, a więcej będzie widać również na badaniach polowkowych (dopiero w styczniu) - wowczas ewentualne zalecenie wykonania echa serca. Na chwilę obecną mamy czekać na wyniki pappa.
 

Nowe wątki

reklama
reklama
Wróć
Do góry