stillgrey213
Fanka BB :)
Wlasnie wrocilam do domu. Widzialam serduszko@stillgrey213 jak tam wizyta?![]()
Postaram sie byc dobrej mysli do wizyty 30go.
257057260.mp4
drive.google.com
Obejrzyj wideo poniżej, aby zobaczyć, jak zainstalować naszą stronę internetową jako aplikację internetową na ekranie domowym.
Notka: Funkcja ta może nie być dostępna w niektórych przeglądarkach.
Przypominam, że dalej nasza forumowa mama potrzebuje Twojej pomocy 💖 Jeśli możesz wpłacić nawet drobną kwotę, to prosimy zrób to Kliknij
Wlasnie wrocilam do domu. Widzialam serduszko@stillgrey213 jak tam wizyta?![]()
drive.google.com
łooo podziwiam go ze tyle siedzi w pracy , jeszcze na dodatek to lekarzOn ma full pacjentek chyba na jakieś półtora miesiąca już.
Ten mój gin to jego znajomy i dlatego przyjmie mnie jutro po wszystkich planowanych pacjentkach.
Podobno czasem ktoś rezygnuje tego samego dnia to może uda się ciut wcześniej
masz zamiar mu już powiedzieć?Ee tam. Może nie będzie tak źle
Może mój W. ze mną pojedzie. Chociaż on po pracy pada o 19.00 więc nie wiem![]()
Powiedziałam... O losie. Jaki był zły, że nie od razu tylko dopiero kilka dni po tym jak zrobiłam test...masz zamiar mu już powiedzieć?czy już powiedziałaś? ☺
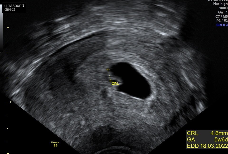
zazdroszczę! U ciebie 5+6 i serduszko a u mnie nawet zarodka nie maWlasnie wrocilam do domu. Widzialam serduszkoCiaza wyglada niestety na 5 dni mlodsza, a wiem, ze maks 2-3 dni roznicy jest mozliwe. Pocieszam sie, ze to moze byc wina slabego usg. CRL wyszlo 4.6mm i wiek obliczyla na 5+6, czyli dokladnie tak samo jak w ciazy, ktora stracilam w 8 tyg. Dobrze, ze za tydzien mam usg w szpitalu, wydaje mi sie, ze mieli duzo lepszy sprzet, a i lekarka byla duzo dokladniejsza niz ta prywatnie. W ogole zaczela usg przez brzuch nie wiem na cholere w tak wczesnej ciazy. Kazalam jej przerwac tak mocno mi brzuch uciskala. Teraz boli mnie lewy jajnik :/ Boje sie, ze tym uciskaniem mogla mi krwiak naruszyc, nie wiem czy to mozliwe, ale tak jak wczesniej mnie brzuch nie bolal tak teraz boli
![]()
Postaram sie byc dobrej mysli do wizyty 30go.
![]()
257057260.mp4
drive.google.com
Super wygląda na to że jest okWlasnie wrocilam do domu. Widzialam serduszkoCiaza wyglada niestety na 5 dni mlodsza, a wiem, ze maks 2-3 dni roznicy jest mozliwe. Pocieszam sie, ze to moze byc wina slabego usg. CRL wyszlo 4.6mm i wiek obliczyla na 5+6, czyli dokladnie tak samo jak w ciazy, ktora stracilam w 8 tyg. Dobrze, ze za tydzien mam usg w szpitalu, wydaje mi sie, ze mieli duzo lepszy sprzet, a i lekarka byla duzo dokladniejsza niz ta prywatnie. W ogole zaczela usg przez brzuch nie wiem na cholere w tak wczesnej ciazy. Kazalam jej przerwac tak mocno mi brzuch uciskala. Teraz boli mnie lewy jajnik :/ Boje sie, ze tym uciskaniem mogla mi krwiak naruszyc, nie wiem czy to mozliwe, ale tak jak wczesniej mnie brzuch nie bolal tak teraz boli
Postaram sie byc dobrej mysli do wizyty 30go.
![]()
257057260.mp4
drive.google.com
to dobrze! Nie musisz się już ukrywaćPowiedziałam... O losie. Jaki był zły, że nie od razu tylko dopiero kilka dni po tym jak zrobiłam test...
zazdroszczę! U ciebie 5+6 i serduszko a u mnie nawet zarodka nie ma![]()
Zachcianek to akurat nie mam.to dobrze! Nie musisz się już ukrywaći jest się z kim dzielić wiadomościami , zachciankami i wybrzydzaniem
![]()
Każdy dzień coś zmienia. U ciebie nawet jutro może być już widać zarodek..zazdroszczę! U ciebie 5+6 i serduszko a u mnie nawet zarodka nie ma![]()