Emol
Fanka BB :)
Mi w 1 ciąży lekarz też w 12+5 powiedział że na 95% chłopak. Jeśli się zna to rozpozna różnicę w kacie nachylenia.Przecież w tym tygodniu nie ma narządów rozrodczych tylko wyrostki płciowe.
U dziewczynek wyglądają tak samo
Obejrzyj wideo poniżej, aby zobaczyć, jak zainstalować naszą stronę internetową jako aplikację internetową na ekranie domowym.
Notka: Funkcja ta może nie być dostępna w niektórych przeglądarkach.
Przypominam, że dalej nasza forumowa mama potrzebuje Twojej pomocy 💖 Jeśli możesz wpłacić nawet drobną kwotę, to prosimy zrób to Kliknij
Mi w 1 ciąży lekarz też w 12+5 powiedział że na 95% chłopak. Jeśli się zna to rozpozna różnicę w kacie nachylenia.Przecież w tym tygodniu nie ma narządów rozrodczych tylko wyrostki płciowe.
U dziewczynek wyglądają tak samo
Dziewczyny odebrałam wyniki NIFTY. Wszystko jest w porządku!!!! Będziemy mieć dziewczynkę. Dziś jest najszczesliwszy dzień w moim życiu płakałam że szczęścia chyba z godzinę. W kolejnej ciąży pierwsze co zrobię to badania genetyczne zanim pójdę na prenatalne i nigdy już nie zrobią pappy.
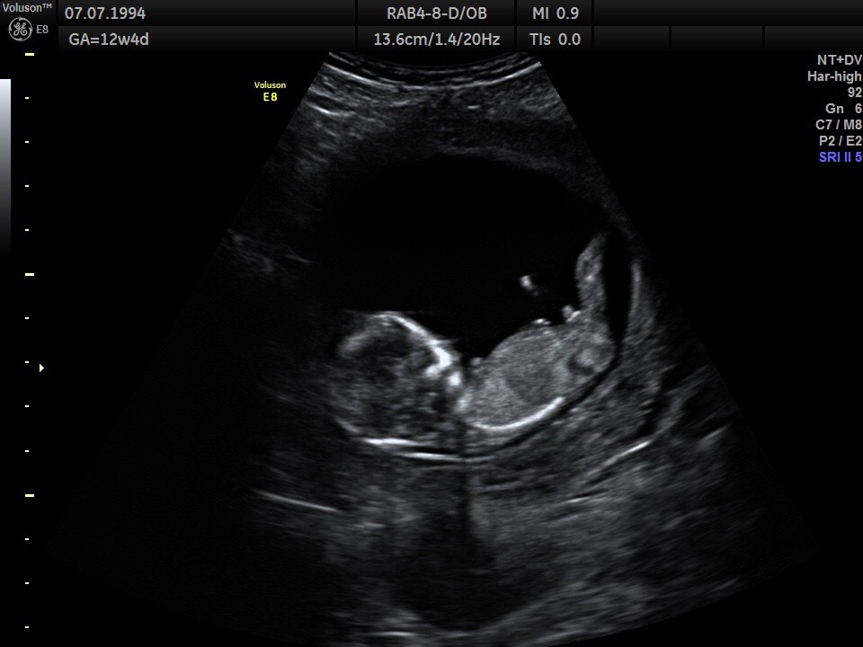
Nie dane mi nigdy było zobaczenie na żywo „wyrostka” na usg u dziewczynki, ale generalnie na etapie 13 tc żaden mój chłopiec nie zostawiał wątpliwości Zobacz załącznik 850302
Dziękuję. Twoje wyniki też super więc możemy odetchnąć i cieszyć się malenstwami i planować i organizować niedaleka przyszłość ;-)Dopiero doszłam tyle stron wstecz. Wspaniała wiadomość!!! I jeszcze dziewczynka, cudownieJuż się możesz odprężyć
![]()
Nie dane mi nigdy było zobaczenie na żywo „wyrostka” na usg u dziewczynki, ale generalnie na etapie 13 tc żaden mój chłopiec nie zostawiał wątpliwości Zobacz załącznik 850302
Poprosiłam Igorelove o dopisanieOsz Tya czemu nie ma Cie na liscie?
Z jakich roczników masz dzieci?
Chyba ze ja slepa jestem to zwale na chorobe i ciąże![]()
Aspekt, a Ty masz ubezpieczenie w jakimś towarzystwie? Pytam...choć się na tym nie znam...ale za tyle czasu spędzonego w szpitalu, to ja bym dostała sporo pieniędzy z ubezpieczenia.Kobitki, mam dość. Koszmarna noc, ciągle bolą mnie plecy. Już siedzieć mi lepiej niż leżeć. Zastanawiałam się, czy karetki nie wezwać, ale ja jestem chyba masochistką. Idę czytać o rwie korzonkach i o materacach - w domu mam twardy (o tym w szpitalu wspominać nie będę, bo tam laski po jednej nocy jęczały, a ja spędziłam 14), może do takiego leżenia przez kilka miesięcy potrzebny jest miękki? Dzisiaj idę do ordynatora patologii ciąży, przynajmniej zobaczę jak Dzieć zniósł te przyjemności.
Aha, i okazało się, że muszę w tym tygodniu wyciągnąć z USC akt urodzenia syna, żeby go zapisać do szkoły. Więc ochoczo założyłam ten ePUAP, o którym od Was się dowiedziałam, składam wniosek i utknęłam na... opłacie skarbowej. Moje 2 banki nie obsługują urzędu w moim mieście, więc pozostaje mi przelew, ale muszę poczekać, aż pieniądze się zaksięgują. Dobrze, że tak rano wstałam, to przelew zaraz wyjdzie i trafi do tego durnego urzędu. Ale poraziła mnie ta cyfryzacja państwa. Jak wszystko z wierzchu wygląda cacy, a w szczegółach niedopracowane. Zastanawiam się, czy nie wejść na portal NFZ i nie sprawdzić, kto ile kasy za świadczenia za mnie ciągnie (ciekawe, ile państwo wydało na moje spa szpitalne). Tylko czy mnie to nie zdenerwuje?
U mnie też chyba będzie Zosia [emoji4]Dla mnie może być u księżnej Kate Filip , u nas stanęło na Jan , Franek , Antoś albo Zosia , Emilia ....
Mąż mówi do brzuszka Janek albo Zosia... Nie ma dla niego innej opcji... Ja się wacham myślę ciągle szukam na necie ... Już sama nie wiem jakie to imie![]()