• Przypominam, że dalej nasza forumowa mama potrzebuje Twojej pomocy 💖 Jeśli możesz wpłacić nawet drobną kwotę, to prosimy zrób to Kliknij

reklama

Płeć dziecka

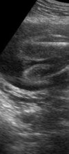
Cześć, mam pytanie. Dwóch lekarzy powiedziało mi, że będę mieć córeczkę, aczkolwiek mam wątpliwości. Po przybliżeniu zdjęcia coś tam zauważyłam :) Jak myślicie? Mogę mieć jakieś obawy, czy raczej sobie wymyślam?
 

Załączniki

  • Screenshot_20210612-135026_Gallery.jpg
    Screenshot_20210612-135026_Gallery.jpg
    192,5 KB · Wyświetleń: 344
reklama
Cześć, mam pytanie. Dwóch lekarzy powiedziało mi, że będę mieć córeczkę, aczkolwiek mam wątpliwości. Po przybliżeniu zdjęcia coś tam zauważyłam :) Jak myślicie? Mogę mieć jakieś obawy, czy raczej sobie wymyślam?
Podobno jak są tam dwie kreseczki to dziewczynka, moim zdaniem są dwie kreseczki.
Ja mam synka i usg wygladało zdecydowanie inaczej.
 
Cześć, mam pytanie. Dwóch lekarzy powiedziało mi, że będę mieć córeczkę, aczkolwiek mam wątpliwości. Po przybliżeniu zdjęcia coś tam zauważyłam :) Jak myślicie? Mogę mieć jakieś obawy, czy raczej sobie wymyślam?
Jeżeli masz wątpliwości po tym jak dwóch lekarzy, którzy się na tym znają potwierdziło płeć dziecka, to nie będziesz miała wątpliwości po tym jak osoby z internetu napiszą Ci co one widzą?
 

Nowe wątki

reklama
reklama
Wróć
Do góry