• Przypominam, że dalej nasza forumowa mama potrzebuje Twojej pomocy 💖 Jeśli możesz wpłacić nawet drobną kwotę, to prosimy zrób to Kliknij

reklama

Sierpniowe Mamy 2021

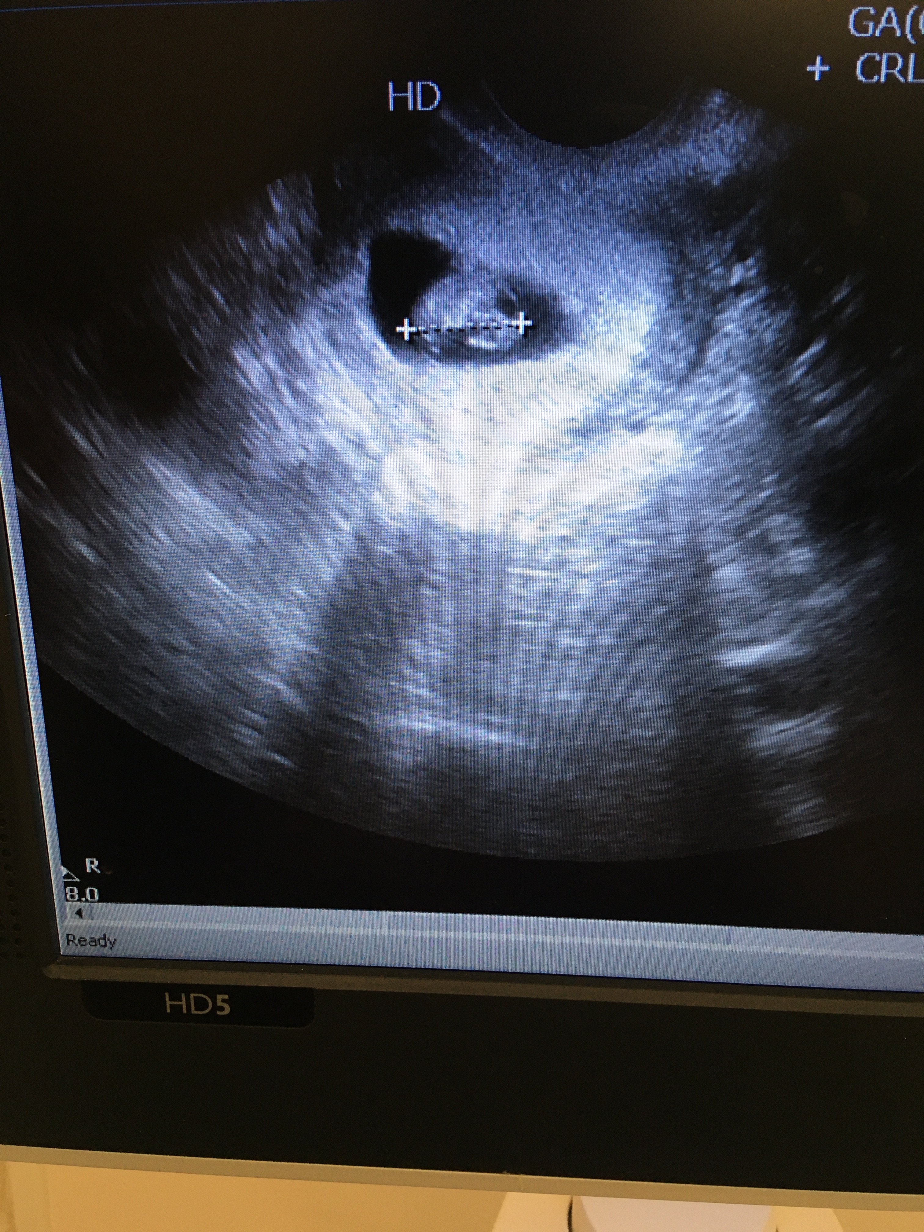
Moje maleństwo 7.2mm z serduszkiem! [emoji173] wg usg 6t4d, czyli 12dni do tyłu w stosunku do ostatniej miesiączki.
Jak siadałam na kozetce, to balam się patrzeć w stronę monitora, a pani doktor tylko chwile poszukała i od razu powiedziała że widać maleństwo, pierwsze co było widać to pulsujące serce. W ogóle lekarz uspokoila mnie z ta wielkością pecherzyka, bo właśnie przy pco i problemach z owulacja bardzo często zarodki pokazują się późno i nie ma co za wcześnie się stresować.

Mam dalej brać duphaston, euthyrox 25, glucophage j prenatal uno, ale dołożyła mi jeszcze luteinę (mam progesteron na granicy) i acard.

Do teraz cala się trzęsę, na chwilkę puściła dźwięk serduszka, to było piękne.
20210105_133653~2.jpeg
 
reklama
Ale radosna nowina [emoji3590][emoji3590]
Moje maleństwo 7.2mm z serduszkiem! [emoji173] wg usg 6t4d, czyli 12dni do tyłu w stosunku do ostatniej miesiączki.
Jak siadałam na kozetce, to balam się patrzeć w stronę monitora, a pani doktor tylko chwile poszukała i od razu powiedziała że widać maleństwo, pierwsze co było widać to pulsujące serce. W ogóle lekarz uspokoila mnie z ta wielkością pecherzyka, bo właśnie przy pco i problemach z owulacja bardzo często zarodki pokazują się późno i nie ma co za wcześnie się stresować.

Mam dalej brać duphaston, euthyrox 25, glucophage j prenatal uno, ale dołożyła mi jeszcze luteinę (mam progesteron na granicy) i acard.

Do teraz cala się trzęsę, na chwilkę puściła dźwięk serduszka, to było piękne.Zobacz załącznik 1222917
 
Moje maleństwo 7.2mm z serduszkiem! [emoji173] wg usg 6t4d, czyli 12dni do tyłu w stosunku do ostatniej miesiączki.
Jak siadałam na kozetce, to balam się patrzeć w stronę monitora, a pani doktor tylko chwile poszukała i od razu powiedziała że widać maleństwo, pierwsze co było widać to pulsujące serce. W ogóle lekarz uspokoila mnie z ta wielkością pecherzyka, bo właśnie przy pco i problemach z owulacja bardzo często zarodki pokazują się późno i nie ma co za wcześnie się stresować.

Mam dalej brać duphaston, euthyrox 25, glucophage j prenatal uno, ale dołożyła mi jeszcze luteinę (mam progesteron na granicy) i acard.

Do teraz cala się trzęsę, na chwilkę puściła dźwięk serduszka, to było piękne.Zobacz załącznik 1222917
No to gratulacje ❤️
 
Moje maleństwo 7.2mm z serduszkiem! [emoji173] wg usg 6t4d, czyli 12dni do tyłu w stosunku do ostatniej miesiączki.
Jak siadałam na kozetce, to balam się patrzeć w stronę monitora, a pani doktor tylko chwile poszukała i od razu powiedziała że widać maleństwo, pierwsze co było widać to pulsujące serce. W ogóle lekarz uspokoila mnie z ta wielkością pecherzyka, bo właśnie przy pco i problemach z owulacja bardzo często zarodki pokazują się późno i nie ma co za wcześnie się stresować.

Mam dalej brać duphaston, euthyrox 25, glucophage j prenatal uno, ale dołożyła mi jeszcze luteinę (mam progesteron na granicy) i acard.

Do teraz cala się trzęsę, na chwilkę puściła dźwięk serduszka, to było piękne.Zobacz załącznik 1222917
Piękne wieści 😍
 
Moje maleństwo 7.2mm z serduszkiem! [emoji173] wg usg 6t4d, czyli 12dni do tyłu w stosunku do ostatniej miesiączki.
Jak siadałam na kozetce, to balam się patrzeć w stronę monitora, a pani doktor tylko chwile poszukała i od razu powiedziała że widać maleństwo, pierwsze co było widać to pulsujące serce. W ogóle lekarz uspokoila mnie z ta wielkością pecherzyka, bo właśnie przy pco i problemach z owulacja bardzo często zarodki pokazują się późno i nie ma co za wcześnie się stresować.

Mam dalej brać duphaston, euthyrox 25, glucophage j prenatal uno, ale dołożyła mi jeszcze luteinę (mam progesteron na granicy) i acard.

Do teraz cala się trzęsę, na chwilkę puściła dźwięk serduszka, to było piękne.Zobacz załącznik 1222917
Super!
 
Moje maleństwo 7.2mm z serduszkiem! [emoji173] wg usg 6t4d, czyli 12dni do tyłu w stosunku do ostatniej miesiączki.
Jak siadałam na kozetce, to balam się patrzeć w stronę monitora, a pani doktor tylko chwile poszukała i od razu powiedziała że widać maleństwo, pierwsze co było widać to pulsujące serce. W ogóle lekarz uspokoila mnie z ta wielkością pecherzyka, bo właśnie przy pco i problemach z owulacja bardzo często zarodki pokazują się późno i nie ma co za wcześnie się stresować.

Mam dalej brać duphaston, euthyrox 25, glucophage j prenatal uno, ale dołożyła mi jeszcze luteinę (mam progesteron na granicy) i acard.

Do teraz cala się trzęsę, na chwilkę puściła dźwięk serduszka, to było piękne.Zobacz załącznik 1222917

Piekne wiesci kochana . [emoji178][emoji178][emoji178][emoji178]
 
Moje maleństwo 7.2mm z serduszkiem! [emoji173] wg usg 6t4d, czyli 12dni do tyłu w stosunku do ostatniej miesiączki.
Jak siadałam na kozetce, to balam się patrzeć w stronę monitora, a pani doktor tylko chwile poszukała i od razu powiedziała że widać maleństwo, pierwsze co było widać to pulsujące serce. W ogóle lekarz uspokoila mnie z ta wielkością pecherzyka, bo właśnie przy pco i problemach z owulacja bardzo często zarodki pokazują się późno i nie ma co za wcześnie się stresować.

Mam dalej brać duphaston, euthyrox 25, glucophage j prenatal uno, ale dołożyła mi jeszcze luteinę (mam progesteron na granicy) i acard.

Do teraz cala się trzęsę, na chwilkę puściła dźwięk serduszka, to było piękne.Zobacz załącznik 1222917
Cudowne wieści! 🥰 Zawsze trzeba mieć nadzieję do końca...! Ja chyba dziś zamknę dzisiejszą listę wizytową bo mam dopiero na 20,a na pewno się opóźni minimum 30min tak jak ostatnio...
 
Dziewczyny walczace z mdlosciami i wymiotami, poszukajcie opasek uciskowych na nadgarstki. Maja wszyty taki jakby guziczek, który dodatkowo uciska nadgarstki i przynosi ulgę w mdlosciach. Mi bardzo pomagają! Nie jestem pewna czy są dostępne w Europie, ale chyba tak...
No i mówią ze panie, które doświadczają bardzo silnych mdłości spodziewają się córki a przy chłopcach mdłości prawie nie ma lub są łagodne. U mnie z chłopakami się sprawdziło, teraz jest znacznie gorzej ale jak czytam co niektóre opisy to chyba jednak wciąż mam względny spokój ;)
a ja największe mdłości miałam właśnie z synem.

W pierwszej ciąży nie miałam żadnego przeczucia, w drugiej czułam, ze będzie dziewczynka i się sprawdziło, teraz czuję, ze chłopak i nawet nie zerkam na żeńskie imiona :) zobaczymy za miesiąc - półtora.
 
Hej dziewczyny , na początku chce Wam Bardzo podziękować za słowa otuchy co do mojego ostatniego postu o mdłosciach i moim psychicznym załamaniu przez niego. Jak wiecie mieszkam w Grecji i tu trochę inaczej jest z lekarzami. Tak wiec dziś miałam pierwsze usg i cytologia. Serduszko bije♥️ , według ostatniej miesiączki 8tc , z usg 7+3. Oczywiście zrobiło mi się słabo podczas badania 🤭, ale szybko wróciłam do siebie. Także bardziej mąż emocjonalnie zaragował na obraz i dziwek bijącego serduszka , ja już czułam , że lekko odpływam. Na szczęście nie straciłam przytomności tylko było mi słabo i oblało mnie potem. No, ale tak to jest jak mdłości mam cały czas i mało jem.
Teraz czy dała mi coś na mdłości , w sumie nie chciała , powiedziała że dają tylko jak już kobieta nie może nawet wody pić i ciagle wymiotuje. Natomiast coś tam przepisała i kazała brać tylko w ostateczności. Druga sprawa , moja opryszczka/ zimno na brodzie. Nic mi nie dała na to , żadnej maści i chyba nie wiedziała co to jest ( witaj w Grecji ). Za dwa tygodnie zaś mam wizytę. Natomiast zalecone badania będę miała na kartce dopiero w piątek. W piątek mąż ma podskoczyć i odebrać kartkę jakie badania mam zrobić. Dziękuje Wam bardzo za wsparcie jakie mi dajecie , pani doktor powiedziała tylko ,że jeszcze miesiąc i mi minie. No , ale może pomogą tabletki od niej bo ja nawet na zewnątrz nie wychodzę. Aaaaa i nie ma podanego terminu porodu 😜, a ja z tego Wszystkiego nie zapytałam , ale z aplikacji wychodzi 18 sierpień plus/ minus 2 tygodnie zawsze się robi. Miłego dnia
CB7F4252-5925-434A-B31E-54E51A4E6C53.jpeg
 
reklama

Nowe wątki

reklama
reklama
Wróć
Do góry