• Przypominam, że dalej nasza forumowa mama potrzebuje Twojej pomocy 💖 Jeśli możesz wpłacić nawet drobną kwotę, to prosimy zrób to Kliknij

reklama

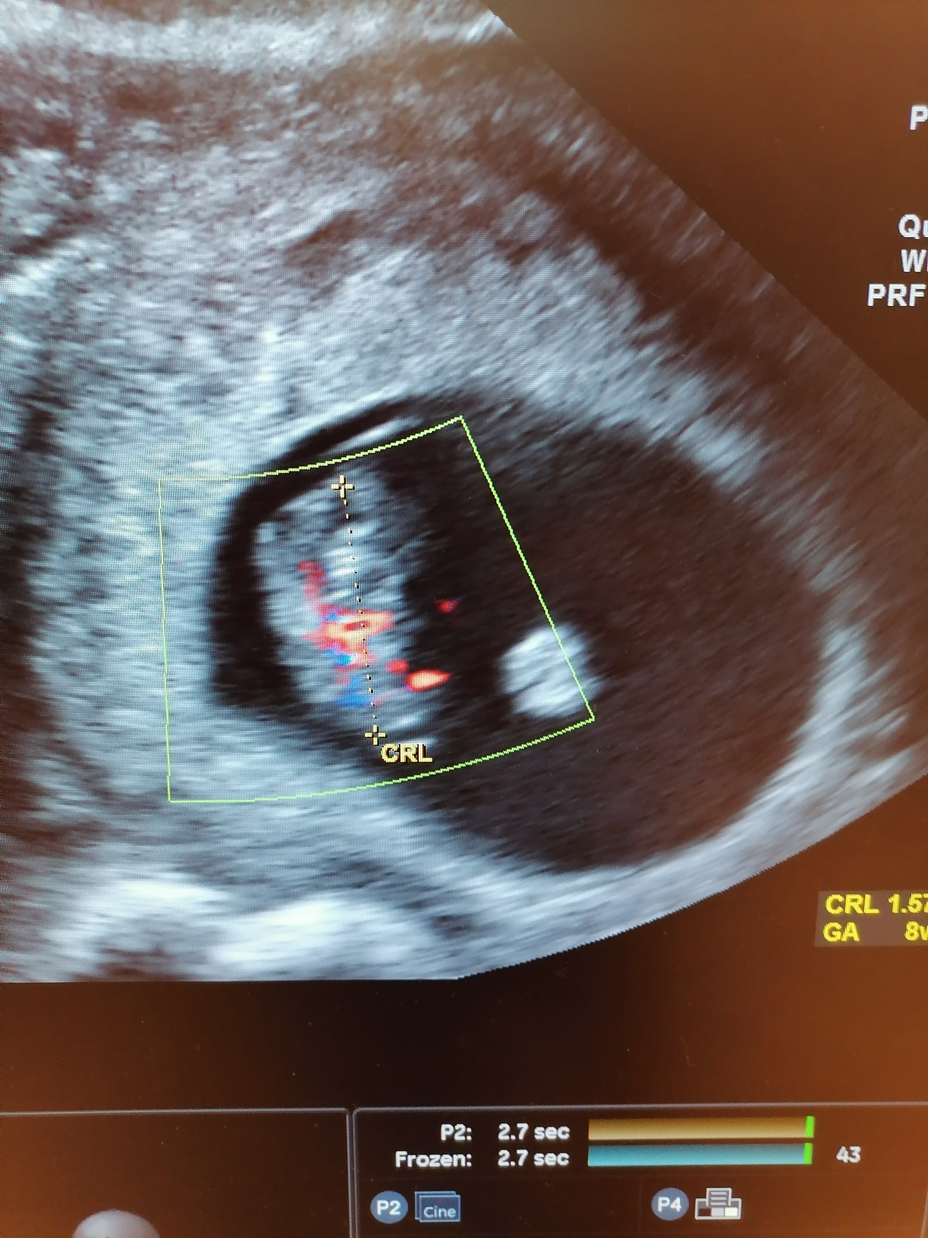
Zdjęcie usg

Witam. Dziewczyny byłamu lekarza, jestem teraz w 8 tygodniu ciąży. Dopiero w domu przyjrzałam się zdjęciu usg i zauważyłam kropkę obok zarodka. Czy to możliwe że jest to ciąża bliźniacza jednokosmowkowa? Czy macie może swoje zdjęcia z ciąży blizniaczej dla porownania?
 

Załączniki

  • IMG_20201006_141545.jpg
    IMG_20201006_141545.jpg
    2,2 MB · Wyświetleń: 595
reklama
hej Dziewczyny.Mam pytanie, ostatnio byłam na wizycie u mojego lekarza który potwierdził na usg dwa pęcherzyki ( jeden większy a drugi mniejszy) powiedział że wygląda mu to na ciąże bliźniaczą ale te nie wyklucza małego krwiaka.Czy ktoś miał podobną sytuację a potem okazało się że biją dwa serduszka? wizytę mam dopiero za 10 dni a już warjuje.
 
hej Dziewczyny.Mam pytanie, ostatnio byłam na wizycie u mojego lekarza który potwierdził na usg dwa pęcherzyki ( jeden większy a drugi mniejszy) powiedział że wygląda mu to na ciąże bliźniaczą ale te nie wyklucza małego krwiaka.Czy ktoś miał podobną sytuację a potem okazało się że biją dwa serduszka? wizytę mam dopiero za 10 dni a już warjuje.
A możesz wstawić to zdjęcie?
 
nie mam zdjęcia przy sobie bo jestem w pracy ale te zdjęcie jest bardzo podobne z tym że jeden pęcherzyk jest mniejszy.
 

Załączniki

  • oo.jpg
    oo.jpg
    7,5 KB · Wyświetleń: 1 128
Ojej trudno powiedzieć tym bardziej ze to nie Twoje zdjęcie. Ja na 1 usg też miałam jeden pęcherzyk większy drugi wydawał się mniejszy. Wydawał się bo na kolejnej wizycie gin je zmierzył i były podobne tyle że różnie ułożone. Miałam wtedy lekkie plamienia gin powiedział mi ze z ciąża mi blizniaczy mi to różnie ze większość jest taka na początku itd. W zasadzie przez pierwsze tyg myślałam że się wchłonie bo tak mnie w zasadzie nastawił...dlatego wiem ze to bardzo trudno ale musisz poczekać bo naprawdę są różne historie i jak maja być dwa serduszka to będą. Nie wiem jak wolisz wiec oby Ci wyszło tak jak chcesz😉
 
Cześć dziewczyny.Byłam u lekarza który potwierdził mi ciąże bliźniaczą.. powiem Wam że liczyłam na jedno i jestem totalnie rozbita.. jestem szczęśliwa i wiem cieszę się ale chyba jeszcze nie tak jak powinnam...
Czy macie jakąs złotą radę ale kilka słów wsparcia jak wy zapoznałyście się z tematem ciąży mnogiej ??
 
reklama
Cześć dziewczyny.Byłam u lekarza który potwierdził mi ciąże bliźniaczą.. powiem Wam że liczyłam na jedno i jestem totalnie rozbita.. jestem szczęśliwa i wiem cieszę się ale chyba jeszcze nie tak jak powinnam...
Czy macie jakąs złotą radę ale kilka słów wsparcia jak wy zapoznałyście się z tematem ciąży mnogiej ??
Ja tydzień ryczałam po tej wiadomości. Potem oswoiłam się z tą myślą a jak już byli na świecie to nie wyobrażałam sobie aby mogło być jedno...
Masz 9 miesięcy aby oswoić się z tą myślą
 

Nowe wątki

reklama
reklama
Wróć
Do góry