reklama

Lipcowe Mamy 2025 ☀️

To ja mam jakoś wcześnie jak w 11+3 będzie. Dlatego pierwsza.
Dobra dziewczyny, była Pani księżna Kierownik . dała mi umowę na dwa lata, podpisalam ,więc już jest git..
Z racji tego że mam jakieś źle i niepokojące przeczucia postabowilan poczekac do przyszłego wtorku do badan, jeśli wszystko będzie w porządku powiem niech pisze zwolnienie od reki.
Trzy tygodnie wytrzymałam do końca umowy to tydzień do wizyty mnie nie zbawi .
 
reklama
Cześć Dziewczyny, chętnie do Was dołączę, mam termin na 25.07.

Moja historia jest nieco skomplikowana, z racji wieku (41lat) nie planowałam już ciąży. Ciąża u mnie była prawie niemożliwa, ze względu na wysoki poziom TSH i Hashimoto. A jednak się stało i jestem bardzo zaskoczona i szczęśliwa :-) :) O pierwsze dziecko (11 lat temu) starałam się 3 lata, skończyło się lekami stymulującymi owulację). W pierwszej ciąży miałam stan przedrzucawkowy i od tamtej pory mam nadciśnienie. Od początku ciąży biorę dopegyt (teraz już 4 tabletki na dobę) i acard 150mg, na razie ciśnienia są względne, ale unormowanie wymagało dłuższego czasu.
Poniżej zdjęcie z wczorajszego USG (7+4), serduszko pięknie bije.
Czy u Was też to ciałko żółte jest wciąż widoczne? Pytałam lekarza i powiedział, że na tym etapie to jest ok.
1733846381475.png
 
Ja mam dopiero 27 grudnia prenatalne 😁 A mam pytanie dziewczyny czy boli was podbrzusze tzn. nie wiem w sumie czy to jest ból czy bardziej takie ciągnięcie podbrzusza przy chodzeniu?
O matko tak, zdecydowanie ciągnięcie. tylko u mnie to przy chodzeniu, siedzeniu, leżeniu 😅 ale wiadomo, to normalne.

Ja zaczęłam 11 tydzień i w końcu powoli mi lepiej, wróciłam po l4 z powrotem do pracy i jutro zamierzam powiedzieć o ciąży managerce. Nie wiem czemu się stresuje 🙈
 
Cześć Dziewczyny, chętnie do Was dołączę, mam termin na 25.07.

Moja historia jest nieco skomplikowana, z racji wieku (41lat) nie planowałam już ciąży. Ciąża u mnie była prawie niemożliwa, ze względu na wysoki poziom TSH i Hashimoto. A jednak się stało i jestem bardzo zaskoczona i szczęśliwa :-) :) O pierwsze dziecko (11 lat temu) starałam się 3 lata, skończyło się lekami stymulującymi owulację). W pierwszej ciąży miałam stan przedrzucawkowy i od tamtej pory mam nadciśnienie. Od początku ciąży biorę dopegyt (teraz już 4 tabletki na dobę) i acard 150mg, na razie ciśnienia są względne, ale unormowanie wymagało dłuższego czasu.
Poniżej zdjęcie z wczorajszego USG (7+4), serduszko pięknie bije.
Czy u Was też to ciałko żółte jest wciąż widoczne? Pytałam lekarza i powiedział, że na tym etapie to jest ok.
Zobacz załącznik 1677278
cześć :) no na takim etapie to normalne że pęcherzyk żółtkowy jest nadal widoczny. Zaniknie jak łożysko przejmie jego rolę
 
Cześć Dziewczyny, chętnie do Was dołączę, mam termin na 25.07.

Moja historia jest nieco skomplikowana, z racji wieku (41lat) nie planowałam już ciąży. Ciąża u mnie była prawie niemożliwa, ze względu na wysoki poziom TSH i Hashimoto. A jednak się stało i jestem bardzo zaskoczona i szczęśliwa :-) :) O pierwsze dziecko (11 lat temu) starałam się 3 lata, skończyło się lekami stymulującymi owulację). W pierwszej ciąży miałam stan przedrzucawkowy i od tamtej pory mam nadciśnienie. Od początku ciąży biorę dopegyt (teraz już 4 tabletki na dobę) i acard 150mg, na razie ciśnienia są względne, ale unormowanie wymagało dłuższego czasu.
Poniżej zdjęcie z wczorajszego USG (7+4), serduszko pięknie bije.
Czy u Was też to ciałko żółte jest wciąż widoczne? Pytałam lekarza i powiedział, że na tym etapie to jest ok.
Zobacz załącznik 1677278
Hej Loszka (extra nick 😅). Mamy termin na ten sam dzien i jestesmy w tym samym wieku 😃 U mnie tez pecherzyk zoltkowy widoczny.
 

Załączniki

  • IMG_3996.jpeg
    IMG_3996.jpeg
    72,6 KB · Wyświetleń: 62
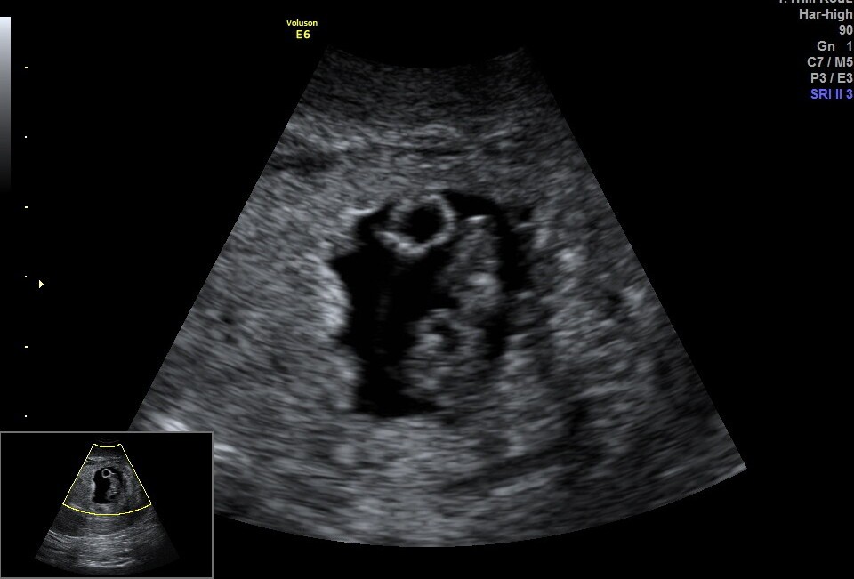
Cześć Dziewczyny, chętnie do Was dołączę, mam termin na 25.07.

Moja historia jest nieco skomplikowana, z racji wieku (41lat) nie planowałam już ciąży. Ciąża u mnie była prawie niemożliwa, ze względu na wysoki poziom TSH i Hashimoto. A jednak się stało i jestem bardzo zaskoczona i szczęśliwa :-) :) O pierwsze dziecko (11 lat temu) starałam się 3 lata, skończyło się lekami stymulującymi owulację). W pierwszej ciąży miałam stan przedrzucawkowy i od tamtej pory mam nadciśnienie. Od początku ciąży biorę dopegyt (teraz już 4 tabletki na dobę) i acard 150mg, na razie ciśnienia są względne, ale unormowanie wymagało dłuższego czasu.
Poniżej zdjęcie z wczorajszego USG (7+4), serduszko pięknie bije.
Czy u Was też to ciałko żółte jest wciąż widoczne? Pytałam lekarza i powiedział, że na tym etapie to jest ok.
Zobacz załącznik 1677278
Hej mam termin na ten sam dzień i też dzisiaj jestem 7+4 😉 Miło że kolejna babeczka do nas dołącza.
A jeśli mogę zapytać to ile ci zajęło unormowanie ciśnienia na Dopegyt? bo ja od kilku dni mam problem z ciśnieniem a od 4 dni jestem na Dopegyt od dzisiaj 3x1 tab. wcześniej 2x1 i nie bardzo mi to obniża ciśnienie. Jakie masz wartości ciśnienia ?
 
reklama
Hej mam termin na ten sam dzień i też dzisiaj jestem 7+4 😉 Miło że kolejna babeczka do nas dołącza.
A jeśli mogę zapytać to ile ci zajęło unormowanie ciśnienia na Dopegyt? bo ja od kilku dni mam problem z ciśnieniem a od 4 dni jestem na Dopegyt od dzisiaj 3x1 tab. wcześniej 2x1 i nie bardzo mi to obniża ciśnienie. Jakie masz wartości ciśnienia ?
biorę dopegyt od 25.11, wtedy miałam pierwszą wizytę u lekarza i cieśnienie 212/130, postawiłam na nogi całą placówkę medyczną, natomiast lekarz na szczęście nie spanikował, dał leki i za 3 dni mieliśmy konsultację i było już lepiej. Teraz mam wartości, jak poniżej, szału nie ma, ale jest o niebo lepiej. Jak na mnie to nie jest źle, w ostatnim tygodniu zaczęły się normować.

DataGodzinaCiśnieniePuls
25.11.2024
18:00​
179/121
97​
26.11.2024
8:00​
144/100
83​
26.11.2024
18:00​
161/107
71​
27.11.2024
6:00​
159/113
73​
Dopegyt 2x1 tab. + Acard 1 x75mg
27.11.2024
15:00​
167/118
75​
27.11.2024
21:30​
170/109
79​
28.11.2024
6:00​
159/103
76​
28.11.2024
23:00​
170/111
76​
29.11.2024
7:30​
156/102
75​
Dopegyt 3x1 tab. + Acard 1x150mg
30.11.2024
12:30​
153/102
75​
30.11.2024
18:30​
157/103
80​
30.11.2024
22:00​
158/108
79​
01.12.2024
15:30​
146/90
77​
01.12.2024
22:00​
161/108
72​
02.12.2024
6:30​
139/97
74​
02.12.2024
19:00​
179/119
84​
02.12.2024
22:00​
157/105
80​
03.12.2024
7:00​
139/99
71​
03.12.2024
15:30​
158/95
82​
03.12.2024
22:30​
166/112
77​
04.12.2024
6:00​
145/97
73​
Dopegyt 1x2x1 tab. + Acard 1x150mg
04.12.2024
17:00​
169/103
85​
05.12.2024
6:00​
135/88
70​
05.12.2024
23:00​
145/92
74​
06.12.2024
7:00​
135/94
74​
07.12.2024
8:30​
138/82
72​
07.12.2024
22:00​
140/86
79​
08.12.2024
9:00​
128/82
80​
08.12.2024
23:00​
146/92
75​
09.12.2024
7:00​
133/84
78​
10.12.2024
10:30​
133/90
67​
 

Nowe wątki

reklama
reklama
Wróć
Do góry