reklama

Wątek główny

Idę we wtorek 23 czerwca (notabene będzie to pierwszy miesiąc od naszego ślubu, więc mam nadzieję, że okaże się szczęśliwy:-)), bo ostatnim razem poleciałam za wcześnie i nic nie było widać, a potem wyszło jak wyszło:baffled: choć tym razem też chyba będzie za wcześnie, ale niech chociaż ginek potiwerdzi ciążę i powie, że wszystko ok -> będę spokojniejsza:-)
Ja także się tego bałam. Ale w związku z moimi czterema poronieniami jakby nie mam wyjścia i lecę szybko. Teraz czekałam 9 dni na wizytę, bo mój ginek idzie na urlop i wszystkie terminy pozajmowane... ale dałam radę :-)
Ja dostałam teraz luteinę dowcipnie, poprzednio brałam Duphaston, ale luteina jest teraz refundowana i za dwa opakowania zapłaciłam 6,40 a za Dupka musiałabym zapłacić ok 75 zł.

Wiecie że lekarz powiedział żebym jadła dużo czosnku i cytryny i w ogóle wszystko co ma dużo witC bo muszę być zdrowa i na końcu dodał " i proszę się nie całować z obcymi facetami :-p Niech Pani na siebie chucha i dmucha :-D"
 
Ostatnia edycja:
reklama
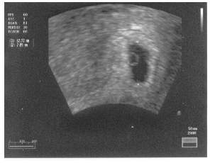
To moja niunia z 16 czerwca.
 

Załączniki

  • bez tytułu.jpg
    bez tytułu.jpg
    7,8 KB · Wyświetleń: 81
Losek to ładnie musieliście "pracować" żeby upolować owulkę :-)

No wlasnie najsmiesniejsze jest to,ze w ogole... :tak: Ja miala PCO (tylko nieregularne cykle), czekalam na okres i mialam miec dopiero badania hormonalne robion ale sie nie doczekalam :) w styczniu odstawilam tabletki bo bralam 8 lat.
Poszlam do L bo mi wyszla zla cytologia i powiedzial mi, ze ma super wiadomosc, ze za 2 dni bede miala owu.. bylam w szoku, ze tak pozno bo to byl 32 dc. i raczej czekalam na @... no ale chyba to jakas reka boza bo nie dosc,ze tak pozno i ze w ogole owu to jeszcez w tym czasie z moim M sie rzadko widywalam bo mieszkal daleko i akurat trafilismy bo sie okazalo,ze owu sie przesunela jeszcze o 3 dni.. a ja myslslam,ze juz po...wiec chyba nic sie nie dzieje przypadkiem :-)
 
reklama
Shingle-gratki. wiem, że max 2 tyg może być spóźnione. Janek był jak w pysk strzelił 2 spóźniony. I nadrobił, oj nadrobił. W 13 tc miał już wiek OM-owy. Urzodził się 10 dni po terminie z wagą 4200...Zafundował miw tej kolejności:każdy cm rozwarcia bolesny i krwawiący, po 36 godz bóli (3 cm rozwarcia)przebicie pęcherza, kroplówę z oxy, masarz szyjki, ręczne wstawianie juniora w kanał, wyciskanie. A na ostatnim skurczu utknął w pochwie... Brak kleszczy i próżnociągu podczas porodu należy tłumaczyc tym iż niebyło tego sprzętu w szpitalu...hehehehehe...Poród masakra.:-D...A to wszystko bez znieczulenia
 

Nowe wątki

reklama
reklama
Wróć
Do góry