reklama
Forum BabyBoom

Dzień dobry...

Starasz się o maleństwo, wiesz, że zostaniecie rodzicami a może masz już dziecko? Poszukujesz informacji, chcesz się podzielić swoim doświadczeniem? Dołącz do naszej społeczności. Rejestracja jest bezpieczna, darmowa i szybka. A wsparcie i wdzięczność, które otrzymasz - nieocenione. Podoba Ci się? Wskakuj na pokład! Zamiast być gościem korzystaj z wszystkich możliwości. A jeśli masz pytania - pisz śmiało.

Ania Ślusarczyk (aniaslu)

  • Weź udział w konkursie „Butelkowe S.O.S. - chwila, która uratowała nasz dzień” i opowiedz, jak butelka pomogła Ci w rodzicielskim kryzysie! 💖 Napisz koniecznie Do wygrania super nagrody, które ułatwią codzienne życie rodziców. Ekspres i sterylizator z osuszaczem od marki Baby Brezza

reklama

Nasze wizyty u lekarz, USG ...:)

reklama
LILITH, Gosia, Zana gratulacje!! Takie maleństwo, a jak cieszy :). Oby nam wszystkim, było dane jak najszybciej zobaczyć fasolki :)
 
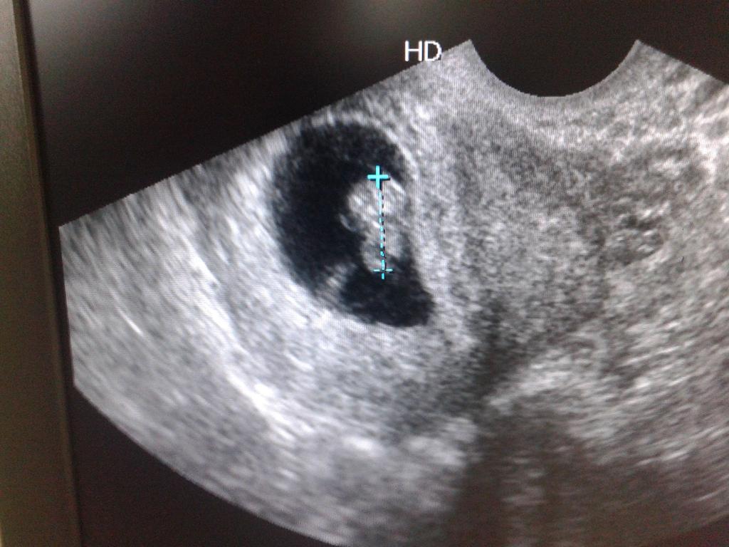
Udało mi się w przychodni ktorej jestem prywatnie zarejestrowana przelozyc usg z 10.05 na jutro na 13.40 wiec zobacze co od piatku zmienilo sie u mojego malenstwa! Tak sie ciesze!!!


f2w39jcgdz0az452.png
 
Jestem w domciu pomniejszylam zdj. Wzruszylam sie z mezem :) Dziewczyny mi sie wydaje ze dzidziolek macha mi <3 Jestem zakochana <3
 

Załączniki

  • 12898190_1063825197024642_154102611454692599_o.jpg
    12898190_1063825197024642_154102611454692599_o.jpg
    95,5 KB · Wyświetleń: 124
  • 12901266_1063825367024625_5884112248811334185_o.jpg
    12901266_1063825367024625_5884112248811334185_o.jpg
    133,8 KB · Wyświetleń: 132
Niee, ale nie chce placic prywatnie za lekarza skoro mam pakiet, a tam udam poprostu ze nie bylam nigdzie wczesniej u lekarza wiec i badania krwi bede miala w cenie pakietu :D a jak bede chciala dodatkowo usg to bede chodzila do tamtego lekarza ;)


f2w39jcgdz0az452.png
 
Gosiu a na kiedy Ty masz termin? Teraz 8 tc zaczelas czy jak? Sliczna ta fasoleczka, zobaczysz jak niedługo pomacha dopiero hihi.

Gosia no to jyz rozumiem, pewnie czemu nie trzeba korzystać. Ja sama chce uprosic moja lekarke o usg we wtorek hihi.
 
reklama
Do góry