reklama
Forum BabyBoom

Dzień dobry...

Starasz się o maleństwo, wiesz, że zostaniecie rodzicami a może masz już dziecko? Poszukujesz informacji, chcesz się podzielić swoim doświadczeniem? Dołącz do naszej społeczności. Rejestracja jest bezpieczna, darmowa i szybka. A wsparcie i wdzięczność, które otrzymasz - nieocenione. Podoba Ci się? Wskakuj na pokład! Zamiast być gościem korzystaj z wszystkich możliwości. A jeśli masz pytania - pisz śmiało.

Ania Ślusarczyk (aniaslu)

  • Weź udział w konkursie „Butelkowe S.O.S. - chwila, która uratowała nasz dzień” i opowiedz, jak butelka pomogła Ci w rodzicielskim kryzysie! 💖 Napisz koniecznie Do wygrania super nagrody, które ułatwią codzienne życie rodziców. Ekspres i sterylizator z osuszaczem od marki Baby Brezza

reklama

Usg chłopiec czy dziewczynka?

I jak tam udało się urodzić w terminie? Bo u mnie synuś chciał tydzień więcej posiedzieć 😋


Jestem w 18 tygodniu. Lekarz.mowil 2tygodnie temu że chyba chłopiec A teraz że na 90%dziewczynka . Co sądzicie po fotce?
 

Załączniki

  • 20201202_213713.jpg
    20201202_213713.jpg
    841,8 KB · Wyświetleń: 323
  • 20201202_213717.jpg
    20201202_213717.jpg
    945,7 KB · Wyświetleń: 312
reklama
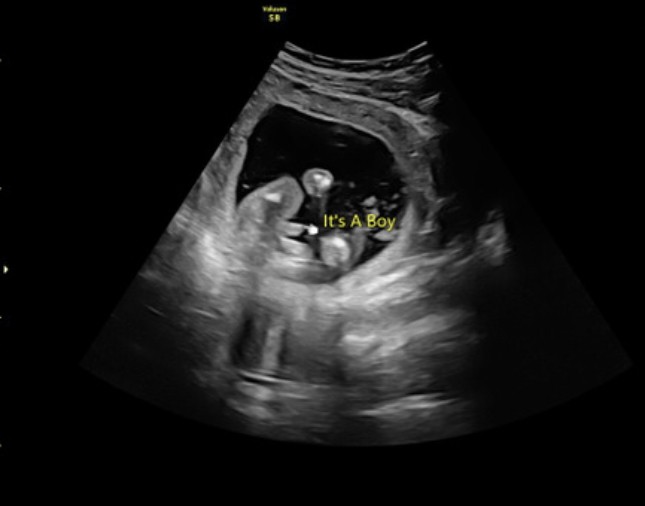
Czy na tym zdjęcie napewno chłopiec?
 

Załączniki

  • F4957AB9-5A2B-4F1D-8A2B-19C90CF106F8.jpeg
    F4957AB9-5A2B-4F1D-8A2B-19C90CF106F8.jpeg
    27,4 KB · Wyświetleń: 252
Do góry