aniolkowa.mama
W oczekiwaniu na CUD
Witaj wsród nas aurela ;-)
Obejrzyj wideo poniżej, aby zobaczyć, jak zainstalować naszą stronę internetową jako aplikację internetową na ekranie domowym.
Notka: Funkcja ta może nie być dostępna w niektórych przeglądarkach.
Przypominam, że dalej nasza forumowa mama potrzebuje Twojej pomocy 💖 Jeśli możesz wpłacić nawet drobną kwotę, to prosimy zrób to Kliknij


Jeszcze tego mi brakowało, żebym ja zachorowała. Na wieczór zrobię sobie polopirynę complex i mam nadzieję, że jutro obudzę się jak nowo narodzona.


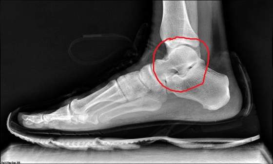
mam teraz chodzic o kulach zeby bardziej kosci nie skruszyc i czekac na termin operacji. Wrzucil mnie jako urgent wiec pewnie ze dwa trzy tygodnie....