• Przypominam, że dalej nasza forumowa mama potrzebuje Twojej pomocy 💖 Jeśli możesz wpłacić nawet drobną kwotę, to prosimy zrób to Kliknij

reklama

Brak zarodka

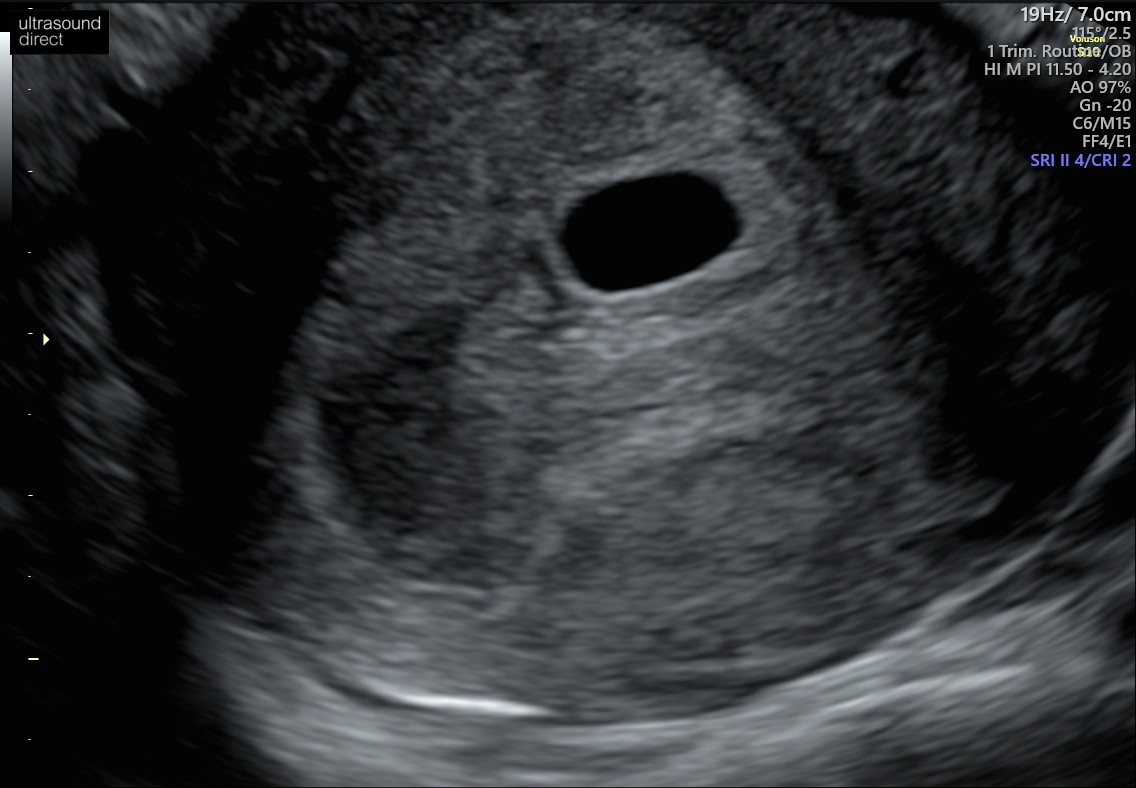
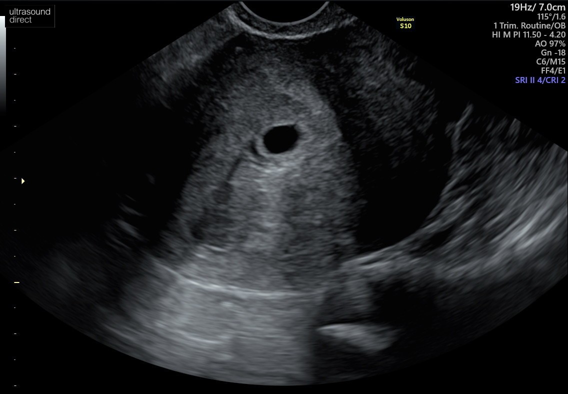
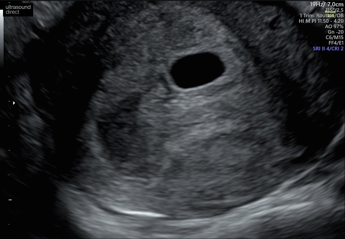
Ostatnia miesiączka 30 maj. Cykle ~32 dni. Z usg około 7 tydzień z kawałkiem. Byłam 22 lutego na usg - puste jajo płodowe. Pęcherzyk 1,78cm. Beta hcg ponad 50.000. Dostałam skierowanie do szpitala i tutaj moje pytanie - czy mam czekać? Jest szansa, że zarodek jeszcze się pojawi? Czy już nie robić sobie nadziei? Nie mam żadnych plamień ani krwawień, a czytałam dużo historii, że zarodek pojawił się w późniejszym czasie.
 

Załączniki

  • IMG_20220722_184848.jpg
    IMG_20220722_184848.jpg
    1,2 MB · Wyświetleń: 515
  • IMG_20220722_184855.jpg
    IMG_20220722_184855.jpg
    1,1 MB · Wyświetleń: 303
reklama
22 lipca, nie lutego tak?
Niestety brak pęcherzyka żółtkowego nie wróży nic dobrego. W szpitalu na pewno zrobią ci też usg, aby się upewnić przed zabiegiem.
 
A czy nie jest możliwe, że owulacja się przesunęła i być może coś tam się pojawi? W pierwszej ciąży miałam poślizg dwóch tygodni
Jest możliwość, że owulacja się przesunęła, ale tutaj ważna jest wielkość pęcherzyka. Te powyżej 2cm, a puste, nie rokują dobrze i jeśli dobrze pamiętam, to powyżej 2,5 cm już terminują ciążę.
 
Ostatnia miesiączka 30 maj. Cykle ~32 dni. Z usg około 7 tydzień z kawałkiem. Byłam 22 lutego na usg - puste jajo płodowe. Pęcherzyk 1,78cm. Beta hcg ponad 50.000. Dostałam skierowanie do szpitala i tutaj moje pytanie - czy mam czekać? Jest szansa, że zarodek jeszcze się pojawi? Czy już nie robić sobie nadziei? Nie mam żadnych plamień ani krwawień, a czytałam dużo historii, że zarodek pojawił się w późniejszym czasie.
Moja historia raczej nie pocieszy, ale miałam podobną sytuację niemal 2 lata temu. Beta rosła książkowo, żadnych plamień, ale mój obraz USG wyglądał identycznie jak Twój. Diagnoza - puste jajo płodowe. Wymagało łyżeczkowania ze względu na wysoką betę. Moim zdaniem lekarz ma rację i myślę, że dla własnego dobra, po prostu lepiej nastawić się na potwierdzenie jego diagnozy. Przed zabiegiem i tak wykonują jeszcze jedno bardzo dokładne USG, więc nie ma szans, że przeoczą żywą ciążę. Mam nadzieję, że nie zabrzmiałam nieprzyjemnie. Na pocieszenie, po zielonym świetle od lekarza, po 4 miesiącach byłam już w ciąży i synu sobie właśnie smacznie obok śpi.
 
Niestety, ale też uważam, że lekarz ma rację. Przy becie 10000 powinno być widać serduszko. Twoja beta wynosi 50000.
Owulacja zawsze może się przesunąć, ale w obrazie USG ciąża powinna być młodsza. Z tego co piszesz Twoja nie jest.
Zamiast czekać lepiej skonsultuj się u innego lekarza. Takiego z super dobrym sprzętem. Wydaje mi się, że to bezpieczniejsze.
 
Moja historia raczej nie pocieszy, ale miałam podobną sytuację niemal 2 lata temu. Beta rosła książkowo, żadnych plamień, ale mój obraz USG wyglądał identycznie jak Twój. Diagnoza - puste jajo płodowe. Wymagało łyżeczkowania ze względu na wysoką betę. Moim zdaniem lekarz ma rację i myślę, że dla własnego dobra, po prostu lepiej nastawić się na potwierdzenie jego diagnozy. Przed zabiegiem i tak wykonują jeszcze jedno bardzo dokładne USG, więc nie ma szans, że przeoczą żywą ciążę. Mam nadzieję, że nie zabrzmiałam nieprzyjemnie. Na pocieszenie, po zielonym świetle od lekarza, po 4 miesiącach byłam już w ciąży i synu sobie właśnie smacznie obok śpi.
Już nastawiłam się psychicznie, że z tej ciąży nic nie będzie, jednakże człowiek chce mieć choć cień nadziei. Mam już dwuletnią córkę, a w styczniu tego roku poroniłam wczesną ciążę, więc gdy tym razem się nie uda - odpuszczam sobie kolejne dziecko na kilka dobrych lat. Psychicznie nie jestem w stanie dłużej przez to przechodzić. Pozdrawiam
 
Witam , jestem w Uk - stad moje mega obawy chyba. Ostatnia miese miałam 7/08. Test pozytywny 4/09 w dzień spodziewanej miesiączki. Według obliczeń poszliśmy na usg w 7+6 tyg (25.09). Babeczka robiąc usg wykryła puste jajo płodowe z nawiązką krwi obok jaja. Powiedziała ze może to być puste, małe jajo płodowe albo 5 tydz ciąży dopiero, z tym ze nie jest widoczne ciałko żółte. Dwa dni po badaniu plamienia różowe , potem brązowe, bol brzucha pojechaliśmy do szpitala - dalej pusto ale mówią , plamienia to normalka, bol brzucha to normalka No i czekać za dwa tyg scan. Według moich obliczeń mega niemożliwością jest żebyśmy byli w piątym tyg dopiero bo sex uprawialiśmy 19/08 (20/08 wypadała ovulacja) prosze bez ocianiania ale potem nie mieliśmy sexu do 3/9 dzień nastepny robiłam test który wyszedł pozytywnie. Ja rozumiem ze może się wszystko poprzesuwać ale cykle mam co 28 dni, regularne. No i te plamienia teraz z bolącymi plecami i podbrzuszem. Zamartwiam się totalnie. Mial ktoś taka sytuacje ? Kiedy wszystko wydaje się kalendarzykowo a jednak te 2 wielkie tyg wszystko się przesunęło ??
 
reklama
A to z mojego skanu (25/09)
Mam możliwość pójścia prywatnie w piątek 30/09, na scan znowu ale nie wiem czy jestem w stanie usłyszeć po raz 3 puste jajo płodowe.
 

Załączniki

  • 5526655E-2457-4224-920F-29CE8558464C.jpeg
    5526655E-2457-4224-920F-29CE8558464C.jpeg
    138,1 KB · Wyświetleń: 213
  • DFB22BDD-2B29-43E0-A593-C03C346E5B5D.jpeg
    DFB22BDD-2B29-43E0-A593-C03C346E5B5D.jpeg
    107,9 KB · Wyświetleń: 208
  • 2ACF8E30-1FE0-4EBA-B98F-91C6C74EE655.jpeg
    2ACF8E30-1FE0-4EBA-B98F-91C6C74EE655.jpeg
    115,2 KB · Wyświetleń: 213

Nowe wątki

reklama
reklama
Wróć
Do góry